Toll Free:

USA & Canada

1 866-218-0980

84-447-8793

Toll Free:

From Canada

1-844-214-2169

From Cancun:

WhatsApp:

(998) 887-85-61

(998) 884-86-81

(998) 172-40-68

EN EL MUNDO HAY CIENTOS

DE IDIOMAS, PERO UNA SONRISA LOS

HABLA TODOS

Abiertos de:

Dentistas en Cancún, Emergencia Dental

Tratamientos Dentales

Otras Especialidades

Odontología General

¿Estas buscando Dentistas Profesionales en Cancún?

Solicita una Cita!

Nombre es requerido

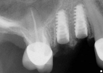
Elevación de Seno Maxilar - Sinus Lift Cancún

Dental Evolution profesionales en salud bucal de México.

Una solución rápida y segura para hacer posible la instalación de implantes dentales

Fue Philip Boyne, quien en 1960 utilizo por primera vez la técnica Caldwell-Luc, empleada para corregir la falta de espacio maxilo-mandibular elevando la Membrana Sinusal en la zona de molares y premolares, colocando en la base del seno un injerto compuesto por hueso particulado o corticoesponjoso autógeno (que se origina o engendra a sí mismo ) para el relleno de esta cavidad ósea, con la llegada de los implantes de titanio radiculares, se observó que muchas zonas maxilares posteriores, eran inadecuadas en altura y anchura ósea, por lo que se requirió injertar hueso dentro del seno maxilar para hacerlas adecuadas receptoras de implantes. La elevación de senos, es una técnica quirúrgica necesaria cuando no hay suficiente hueso, se añade hueso entre el maxilar superior y los senos maxilares, que son un anexo de las fosas nasales por lo que están en ambos lados de la nariz, la forma y el tamaño de este seno varían en cada persona y con el paso de los años se va haciendo más grande (inadecuado para implantes dentales).

 

Esta técnica es empleada en cirugía dento-alveolar, oncología y traumatología, con el objeto de  dar arreglo a  un defecto óseo craneofacial etc. La elevación de seno es una solución segura a través de la cual es posible la instalación  de los implantes dentales osteointegrados, dando como resultado estética y funcionalidad a la dentadura, este procedimiento es también conocido como Sinus Lift.

 

Hace ya más de 15 años que esta técnica se ha vuelto usual, En Dental Evolution Cancún hemos logrado una óptima calidad de injerto óseo con lo que el periodo de formación ósea se ha reducido considerablemente, la cirugía se realiza bajo anestesia local o sedación y su duración es menor a dos horas.

 

 

¿Requiere de una cotización? ¡Contáctenos!Un equipo de dentistas profesionales se pondrá en contacto contigoClic Aquí

 

 

¿Para quién esta indicada esta técnica?

Esta técnica esta recomendada en aquellos casos donde es imposible colocar implantes dentales con la longitud óptima en la parte posterior del maxilar superior ya que en  esta región se posee generalmente una calidad ósea Tipo III ó IV y por esto es necesario utilizar implantes de una longitud mínima de 10mm y del mayor diámetro posible.

 

 

 

 

 

 

 

 

Testimonios

Lo que opinan nuestros pacientes

My experience with Dental Evolution was amazing and I just love it because the doctor is so gently, I almost fall asleep because he did a great job, I recommend them for everybody because they just work perfect.

Helen from Canada (19, nov)

Desde Cancún:

(998) 887-85-61

(998) 884-86-81

WhatsApp

(998) 172-40-68

Toll Free:

From Canada

1-844-214-2169

Toll Free:

USA & Canada

1-866-218-0980

84-447-8793

Emergencia Dental

Otras Especialidades

Turismo Dental en Cancún

- Solicita una Cotización

- Todo sobre su Clínica Dental Evolution

- Por que Cancún es el mejor destino

  en Turismo Dental

Todos los derechos reservados Dental Evolution 2015 -  Aviso de Privacidad