Toll Free:
USA & Canada
1 866-218-0980
84-447-8793
Toll Free:
From Canada
1-844-214-2169
From Cancun:
WhatsApp:
(998) 887-85-61
(998) 884-86-81
(998) 172-40-68
BLOG
CONTÁCTANOS
EN EL MUNDO HAY CIENTOS
DE IDIOMAS, PERO UNA SONRISA LOS
HABLA TODOS
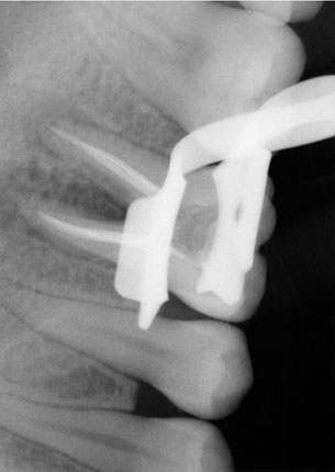
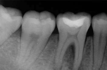
Una endodoncia es un tratamiento que se realiza como última recurso antes de realizar la extracción de una pieza dental. Cuando la caries es muy profunda puede tocar tejidos dentarios llegando al nivel del nervio “pulpa”, esto sucede cuando una caries no fue tratada a tiempo y se perciben molestias al tomar alimentos fríos o calientes, en cuyo caso lo más probable es que sea esto lo que esté sucediendo, el dolor puede llegar a tornarse insoportable y es eso lo que se pretende evitar con una endodoncia el dolor y la posibilidad de una infección con la consiguiente pérdida de una pieza dental. Una endodoncia no duele, se siente igual que un relleno ordinario. La endodoncia es inevitable si lo que se desea es conservar la pieza dental, sin tratamiento, el tejido que rodea el diente se infectaría, por lo que no se debe empastar con una obturación normal, puesto que si lo hacemos, la pieza seguiría molestando, la sensibilidad seria mayor, la infección se diseminará a través del sistema de conductos radiculares del diente produciendo un absceso e irremediablemente la pieza tendría que ser extraída.
Durante un procedimiento de conducto radicular, o endodoncia el nervio y la pulpa se eliminan y el interior del diente se limpia, se empasta la raíz con los materiales correspondientes y se procede a la reconstrucción de la corona dental, todo éste tratamiento se realiza habiendo aplicado anestesia local en la zona afectada, la misma anestesia que se utiliza para un simple empaste o una extracción.
La endodoncia le da más tiempo de vida útil a su pieza dental, en Dental Evolution Cancún le recomendamos evitar la extracción realizándose este procedimiento que garantizamos será sin dolor, gracias a la tecnología de vanguardia con la que contamos, instrumental rotatorio, sistema de ultrasonido, y a nuestra “radiografía digital” la cual juega un papel crucial en el procedimiento de endodoncia, además de que usted estará atendido con la calidez, calidad humana y profesionalismo que caracteriza a nuestro experto equipo de dentistas especializados que le apoyaran en todo momento.
¿Requiere de una cotización? ¡Contáctenos!Un equipo de dentistas profesionales se pondrá en contacto contigoClic Aquí


Lunes a Viernes de 9 am - 8 pm
Sábado de 9 am - 5 pm
My experience with Dental Evolution was amazing and I just love it because the doctor is so gently, I almost fall asleep because he did a great job, I recommend them for everybody because they just work perfect.
Helen from Canada (19, nov)
Desde Cancún:
(998) 887-85-61
(998) 884-86-81
(998) 172-40-68
Toll Free:
From Canada
1-844-214-2169
Toll Free:
USA & Canada
1-866-218-0980
84-447-8793
Odontología Estética
Implantes Dentales
Odontología General
Dentaduras
Emergencia Dental
Otras Especialidades
Todos los derechos reservados Dental Evolution 2015 - Aviso de Privacidad