Galería de Resultados Del uso de Brackets

Una razón para volver a sonreír.

Todos los casos que se muestran a continuación se llevaron a cabo y se completaron en nuestra clínica.  Si usted tiene alguna pregunta , póngase en contacto con nosotros. Desde Cancún: (998) 887-85-61 y (998) 884-86-81

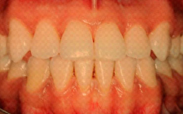
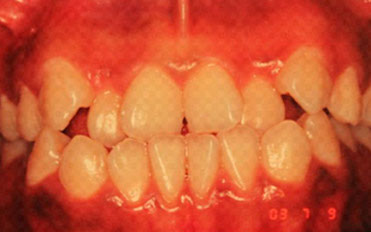
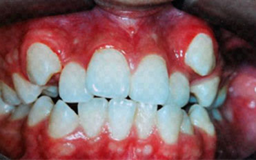
Caso: Resultados Del uso de Brackets

(Desliza la imagen para alternar antes y después)

¿Requiere de una cotización? ¡Contáctenos!

Dirección: Plaza Hollywood Local 25 Av. Coba Mz. 1 Lt. 1 Sm 35, Cancún, Quintana Roo, C.P. 77508

Desde Cancún:

(998) 887-85-61

(998) 884-86-81

Toll Free: USA & Canada

01800-839-2767

Whatsapp

(998) 172-40-68

Todos los derechos reservados Dental Evolution 2015

Aviso de Privacidad